
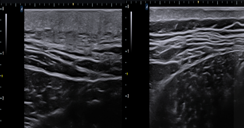
좌측이 환자분 피부 초음파, 우측이 김병균 원장님 피부 초음파 입니다.
54/M 9년간 통증으로 타 병원에서 매주 치료 받으셨던 분입니다
– 치료하면 며칠 좋아지고 같은상태 반복
그 선생님도 이런 경우는 처음이라 하셨던 분입니다
– 기립근 부위와 목 어깨 쪽의 피부가 fibrotic change다오고
실제 초음파상의 두께가 2cm정도나됩니다
-만성적인 염증성 환경으로 피부는 작은 바늘만 들어가도 비명을 지르십니다
다른시술에도 미미하게 반응을 하였지만
PRF치료는 단기 효과 뿐만 아니라 장기적으로도
피폐한 soft tissue 환경을 만성적인 염증상태에서
재생상태로 전화시켜 주는 정말 좋은 치료인거 같습니다
-올리본 의원 김병균 원장님-